Conteúdos e materiais

Tudo Que Você Precisa Saber Sobre Biópsia Guiada e Diagnóstico Preciso

Tudo Que Você Precisa Saber Sobre Biópsia Guiada e Diagnóstico Preciso

Tudo Que Você Precisa Saber Sobre Biópsia Guiada e Diagnóstico Preciso

A Biópsia Guiada por Imagem é um dos procedimentos mais importantes da medicina moderna para o diagnóstico de diversas doenças, incluindo o câncer. Neste conteúdo, você vai aprender mais sobre essa técnica que é fundamental para garantir um diagnóstico preciso e seguro de forma minimamente invasiva. Resultados rápidos, precisos e seguros são fundamentais para definir o prognóstico e tratamento mais adequado para diversas patologias.

Veja a seguir os tópicos que serão abordados neste blog post Tudo Que Você Precisa Saber Sobre Biópsia Guiada e Diagnóstico Preciso:

1. O que é uma Biópsia Guiada por Imagem?

2. Como é feita a Biópsia Guiada por Imagem?

3. Quais são os principais tipos de Biópsia Guiada por Imagem?

4. Quais doenças podem ser diagnosticadas com a Biópsia Guiada por Imagem?

5. Qual a diferença entre Biópsia Guiada por Imagem e outros métodos de biópsia?

6. Quando a Biópsia Guiada por Imagem é indicada?

7. Quais são os riscos e benefícios da Biópsia Guiada por Imagem?

8. Como é a recuperação após uma Biópsia Guiada por Imagem?

9. O papel do Radiologista Intervencionista na Biópsia Guiada por Imagem?

10. Conclusão

Continue a leitura e descubra Tudo Que Você Precisa Saber Sobre Biópsia Guiada e Diagnóstico Preciso, com explicações detalhadas sobre a Biópsia Guiada por Imagem, seus benefícios e por que a experiência do médico faz toda diferença na precisão do seu diagnóstico.


1. O que é uma Biópsia Guiada por Imagem

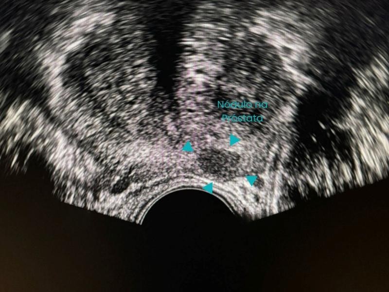
A Biópsia Guiada por Imagem é um procedimento minimamente invasivo que utiliza tecnologias como ultrassom, tomografia computadorizada ou ressonância magnética para orientar a introdução de uma agulha de biópsia até o local exato da lesão. Essa precisão é o que permite a coleta segura de amostras para análise laboratorial. A Biópsia Guiada por Imagem é realizada com equipamentos de última geração, garantindo conforto e segurança do paciente. Além disso, a técnica reduz a necessidade de cirurgias abertas e acelera o diagnóstico, sendo essencial para identificar tumores, infecções e doenças inflamatórias.


2. Como é feita a Biópsia Guiada por Imagem

Durante a Biópsia Guiada por Imagem, o paciente é posicionado de forma estratégica, e o médico radiologista intervencionista utiliza imagens em tempo real para direcionar a agulha até o ponto exato do tecido ou amostra a ser coletado.

 O médico realiza anestesia local, tornando o procedimento praticamente indolor. Em seguida, pequenas amostras de tecido são retiradas e encaminhadas para o laboratório de anatomia patológica.

 A Biópsia Guiada por Imagem costuma durar entre 40 minutos a 1 hora e, na maioria dos casos, o paciente retorna às atividades normais no mesmo dia.


3. Quais são os principais tipos de Biópsia Guiada por Imagem

Existem diferentes tipos de Biópsia Guiada por Imagem, e cada uma é indicada conforme o tipo e localização da lesão:

• Biópsia por Agulha Grossa (Core Biopsy) – Retira fragmentos de tecido, ideal para tumores sólidos.

• Biópsia por Agulha Fina (PAAF) – Indicada para lesões menores ou líquidas.

• Biópsia por Vácuo – Usada em mama e tecidos subcutâneos para amostras maiores.

 O médico avalia individualmente cada caso para escolher o tipo de Biópsia Guiada por Imagem mais adequado.


4. Quais doenças podem ser diagnosticadas com a Biópsia Guiada por Imagem

A Biópsia Guiada por Imagem é essencial para diagnosticar cânceres de mama, fígado, pulmão, rim, tireoide, além de lesões musculoesqueléticas e linfonodais.

 Ela também é indicada para confirmar processos infecciosos e inflamatórios, permitindo que o médico defina o tratamento correto.

Cada Biópsia Guiada por Imagem deve ser planejada com base em protocolos de segurança e qualidade, garantindo a confiabilidade dos resultados.


5. Qual a diferença entre Biópsia Guiada por Imagem e outros métodos de biópsia

Ao contrário das biópsias cirúrgicas convencionais, a Biópsia Guiada por Imagem é menos invasiva, mais rápida e não requer internação.

 Enquanto uma cirurgia pode demandar anestesia geral e cortes, a Biópsia Guiada por Imagem usa uma agulha de biópsia e é realizada sob anestesia local.

O método é seguro, eficaz e proporciona resultados de alta precisão, reduzindo riscos e desconforto ao paciente.


6. Quando a Biópsia Guiada por Imagem é indicada

A Biópsia Guiada por Imagem é indicada sempre que há necessidade de confirmar um diagnóstico que depende de análise microscópica do tecido.

Lesões suspeitas em exames de imagem ou exames físicos, como nódulos, massas ou áreas de captação anômala, são as principais indicações. Nos casos de tumores, quanto mais precoce a realização da Biópsia Guiada por Imagem, maiores as chances de detecção em estágios iniciais com melhor prognóstico para o paciente.


7. Quais são os riscos e benefícios da Biópsia Guiada por Imagem

Entre os maiores benefícios da Biópsia Guiada por Imagem estão a precisão diagnóstica, a rapidez na recuperação e o baixo risco de complicações.

 Os riscos são mínimos e incluem pequenos hematomas ou dor local, facilmente controlados. A experiência do médico e o uso de equipamentos de alta tecnologia fazem com que a Biópsia Guiada por Imagem seja extremamente segura e eficiente.


8. Como é a recuperação após uma Biópsia Guiada por Imagem

A recuperação da Biópsia Guiada por Imagem é rápida. O paciente geralmente permanece em observação por algumas horas e pode retornar às suas atividades no mesmo dia.

 O médico orienta cuidados simples, como evitar esforço físico por 24 horas. O acompanhamento médico e o suporte da equipe garantem segurança em todas as etapas, desde a coleta até o resultado final da Biópsia Guiada por Imagem.


9. O papel do Radiologista Intervencionista na Biópsia Guiada por Imagem

O Radiologista Intervencionista é o especialista que realiza a Biópsia Guiada por Imagem, combinando conhecimento anatômico detalhado e domínio das técnicas de imagem. A experiência do médico garante segurança e precisão em cada procedimento que resulta em diagnósticos confiáveis e tratamentos eficazes.


10. Conclusão

Chegamos ao fim de mais um conteúdo desenvolvido pelo Dr. Marlon Monarim.

 Neste blog post falamos sobre o que é uma Biópsia Guiada por Imagem, como é feita, seus tipos, indicações, diferenças em relação a outros métodos, riscos, benefícios, recuperação e papel do radiologista.

Se você precisa de um diagnóstico seguro, entre em contato com o Dr. Marlon Monarim para tirar suas dúvidas sobre Biópsia Guiada por Imagem em Ibirapuera/São Paulo e agendar sua consulta com um Radiologista Intervencionista experiente e referência na área.

Conteúdo desenvolvido pelo Dr. Marlon Monarim – Radiologia Intervencionista em Ibirapuera/São Paulo.


Por Que Escolher Nossa Clínica?


Equipe Altamente Especializada

Equipe Altamente Especializada

Médicos experientes e capacitados em técnicas minimamente invasivas, garantindo segurança e resultados superiores.

Tecnologia de Ponta

Tecnologia de Ponta

Equipamentos modernos oferecem imagens precisas para diagnósticos e tratamentos com máxima eficácia.

Procedimentos Minimamente Invasivos

Procedimentos Minimamente Invasivos

Diagnostico e tratamentos seguros, com menos dor e rápida recuperação, evitando cirurgias tradicionais complexas.

Atendimento Humanizado e Individualizado

Atendimento Humanizado e Individualizado

Foco no cuidado integral, com atenção personalizada para atender as necessidades de cada paciente.

Agende sua Consulta com o Dr. Marlon Monarim

Marque seu atendimento com o Dr. Marlon Monarim, especialista em Radiologia Intervencionista. Atendimentos personalizados e com tecnologia de ponta para garantir o melhor diagnóstico e tratamento.

Agende consulta particular

Radiologista Intervencionista

Dr. Marlon Monarim

Dr. Marlon Monarim é especialista em Radiologia Intervencionista e Cirurgia Endovascular, com 14 anos de experiência. Formado pela Universidade Federal de São Paulo, é certificado pelo Colégio Brasileiro de Radiologia (CBR) e pela SOBRICE.

Conquistou o primeiro lugar no exame nacional da SOBRICE e se destaca em procedimentos minimamente invasivos, como ablação de tumores e biópsias guiadas. Atende nos melhores hospitais de São Paulo, incluindo o Hospital Nove de Julho e Vila Nova Star.

Além de sua prática clínica, Dr. Marlon é professor nas residências de Radiologia Intervencionista da Universidade Federal de São Paulo e IAMSPE, e compartilha seu conhecimento em congressos renomados.

14+
Anos de Experiência
35.000+
Procedimentos Realizados
3+
Certificações de Excelência
10+
Hospitais Parceiros em SP

Radiologista Intervencionista

Nossa Clínica

A clínica do Dr. Marlon Monarim é especializada em Radiologia Intervencionista, oferecendo um ambiente moderno e equipado para procedimentos minimamente invasivos. Utilizamos tecnologia de ponta para garantir diagnósticos precisos e tratamentos seguros.

Realizamos procedimentos como ablação de tumores, biópsias guiadas, embolizações e drenagens, com foco na recuperação rápida e no bem-estar dos pacientes. Nosso atendimento é humanizado e nossa equipe é altamente qualificada, sempre em busca de soluções personalizadas.


O Que Nossos Pacientes Dizem

Confira os depoimentos de quem já passou por nossos cuidados e descubra como nossos tratamentos transformaram a saúde e o bem-estar de nossos pacientes.

Tudo Que Você Precisa Saber Sobre Biópsia Guiada e Diagnóstico Preciso

Clique para Ligar
Fale por WhatsApp
Agende Consulta Particular